
Like many people who’ve biked in Portland for a few years, Lisa Timmerman could sense an uptick in careless and dangerous driving. In December 2023 Timmerman replied to a BikePortland Instagram story that she’d just returned to bike commuting after the pandemic and, while grateful for new infrastructure around town, she said, “I feel fearful in a way I didn’t just three years ago. Even in just a short commute, I’ve had to modify my route due to too many careless and aggressive run-ins on ‘protected’ bikeways.”
Six months later, Timmerman’s fears came to life.
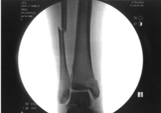
On June 27th, 2024, while biking eastbound on the Southeast Clinton Street neighborhood greenway, she crossed Cesar Chavez Blvd with a green light. As soon as she entered the intersection, a woman driving a blue Hyundai sedan southbound on Cesar Chavez slammed into her. The driver, then 21-year-old Sophie Bell, failed to stop at a red signal and didn’t even brake. A video (view it below) from a nearby resident shows Timmerman crumple to the ground on impact and begin wailing in pain. The collision caused multiple fractures to Timmerman’s ankle and several broken ribs.
“I decided to not cite Bell because she was remorseful and apologetic for hitting the cyclist.”
– Alexandru Martiniuc, PPB officer (from police report)



Timmerman, 42, endured two surgeries to repair bones and spent months in pain and physical therapy sessions. She expects early onset arthritis and ankle replacement surgery are in her future. “I was a very serious cyclist prior to the accident, riding about 6,000 miles a year,” she shared with me via email. “And while I’m back to cycling now, I’m doing only a fraction of what I did before.”
In some ways, Timmerman was lucky. It wasn’t a direct hit, and the car had a slim hood profile. What if Bell was driving a truck with a high hood? What if she’d been hit just a millisecond or two later? Those thoughts still haunt Timmerman; but her injuries weren’t the only troubling aspect of her ordeal.
“It was stunning to me how minimal the consequences were for the driver,” Timmerman shared with me.
According to the Portland Police Bureau report, a witness (a driver going the other direction who’d stopped at the signal) told the responding officer that the driver who hit Timmerman went through a red signal. A few days later, the officer was able to view video camera footage from a nearby porch. “I could see the pedestrian traffic signal in the video signaling eastbound traffic had the right of way/green light,” the report reads. “Timmerman entered the intersection. I saw a blue vehicle enter the intersection and sideswipe Timmerman.” Bell also admitted to the officer that she “thought her light was green.”
Three sources of very solid evidence proved that Bell had violated Oregon Revised Statute 811.135 – the careless driving law. That law states if a person commits a traffic violation that results in the serious injury (or death) of a “vulnerable user of a public way,” they can receive an enhanced sentence that includes completion of a traffic safety course and up to 200 hours of community service. If that sentencing is not met, they could also be subject to a fine of up to $12,500 and a one-year license suspension.
But despite Bell’s admission of guilt, a witness statement, and irrefutable video evidence, PPB Officer Alexandru Martiniuc declined to issue any citation at all. The reason: The driver felt bad and said sorry.
“After interviewing all involved parties and reviewing the camera footage, I determined the driver was at fault. Bell was inattentive and did not notice that her light was red,” Ofcr Martiniuc wrote in the report. “I decided to not cite Bell because she was remorseful and apologetic for hitting the cyclist.”
Chris Thomas of Portland-based law firm Thomas, Coon, Newton & Frost (a financial supporter of BikePortland) represented Timmerman in the case and told me in an interview this week, “the fact that the reaction and the apology and the sympathy would factor into the analysis at all is outrageous.” Thomas added that in his experience representing bicycle riders and walkers, failure to cite for obvious infractions “is not an isolated incident.”
“It would survive any standard of proof. There would be no issue for a police officer to prove this case in front of a traffic court judge.”
– Chris Thomas, lawyer
Calling this behavior from PPB officers a “widespread problem,” Thomas shared that, “It’s not as though this was a he-said/she-said. There’s a neutral witness, there’s video evidence. It would survive any standard of proof. There would be no issue for a police officer to prove this case in front of a traffic court judge.”
Thomas believes the decision to not issue a citation in a clear-cut case like this, “downplays the seriousness of careless operation of a vehicle and the consequences that you can cause by careless driving.” It’s a symptom of what Thomas feels is a “systemic, very pervasive ‘windshield bias‘ throughout our system.” Thomas has urged the Multnomah County District Attorney to consider stronger punishment for dangerous drivers and says elected officials who oversee the PPB need to step up and demand action.
“I’m not trying to ruin this person’s life – just to reinforce some accountability.”
– Lisa Timmerman
Asked to respond to my concern that what Ofcr Martiniuc wrote in the report could be perceived by some in the community as biased, PPB Public Information Officer Kevin Allen told me, “I cannot speak for the officer and I don’t have information about that individual case, but in most circumstances, policy and the law grants police officers the discretion to determine whether a citation (or arrest) is appropriate to the situation.” When I asked to speak directly to the officer in order to better understand their decision, Sgt. Allen said he’d ask for me. A few minutes later he replied: “The officer has nothing else to add beyond what is documented in the report.”
This circular unaccountability at PPB undermines their (already paper thin) public trust and calls into question the agency’s purported commitment to using enforcement as a way to improve road safety and change driver behavior. The fact that an officer would write “I decided to not cite Bell because she was remorseful and apologetic for hitting the cyclist,” shows how normalized and pervasive this sentiment is inside the PPB.
Compare Timmerman’s case with a crash that happened just one month ago. On November 10th the PPB issued a press release about a minor fender-bender between two drivers in Northeast Portland. The victim’s air bag was deployed, but they were not seriously injured, and the driver who caused the crash was not speeding or impaired. But for some reason, the driver was issued a citation for careless driving. The victim in that case was a Portland Police officer.
It doesn’t take an advocate or a lawyer to see how disturbing this is. 18 months after being hit, Timmerman herself still laments that the person who caused her so much pain faced no justice, and she worries Bell will do it again. “How do we have a Vision Zero policy but we can’t communicate the severity of the action to the driver when there is clear evidence they were at fault?” she wonders. “A citation seems like a minimal action/consequence. I’m not trying to ruin this person’s life – just to reinforce some accountability.”
It’s also not lost on Timmerman that this happened on Cesar Chavez Blvd, a road with a deadly history that a design that encourages dangerous driving. Safety activists will often say that good roadway design is self-enforcing. In the case with Cesar Chavez, the opposite is true. With its car-centric design, police enforcement of traffic laws is one of the only tools we have to keep drivers in check. Without it they will continue to run amok, leaving a trail of broken bodies and broken trust in its wake.
For Timmerman, the PPB’s intentional and selective lack of enforcement is another difficult layer to process. “I live in ground zero for the three fatalities in the past two years,” she shared with me. “Grey Wolfe was hit two blocks from my house. I heard it and saw the aftermath and it has been weighing heavily all week.”






Thanks for reading.
BikePortland has served this community with independent community journalism since 2005. We rely on subscriptions from readers like you to survive. Your financial support is vital in keeping this valuable resource alive and well.
Please subscribe today to strengthen and expand our work.
My primary mode of transit is walking. My secondary mode is driving. I rarely pedal anymore – haven’t been on a bike for years. In this particular incident, where there is clear proof of who was at fault, you have to issue a citation. The fault is provable and the vulnerable road user was injured. The driver’s future, financial or otherwise, should not even enter into the thought process. The driver didn’t even brake when the bicyclist was in the road in front of the driver – what was the driver looking at if not the road?
You have to drive responsibly. Anytime you are in the driver seat, you really need to completely ignore your phone.
We live in a city/region/state that is generally lenient when it comes to issuing consequences for illegal behavior. Consequences change behavior. Feeling bad that broke someone’s ankles and ribs while running a red light is not a consequence.
While I agree with the sentiment behind your post Tom V. unfortunately this isn’t how the world works. I’m not sure what saying: ‘…you have to issue a citation’ accomplishes beyond underscoring that this is what *should* be happening. No amount to righteousness and wishing for things to be just will change the fact – the indisputable fact – that there is very little and very inconsistent justice for cases of road traffic violence. You can say (or shout) ‘you have to drive responsibly…you really need to ignore your phone’ until you are blue in the face and pass out, but the reality is our cultural norms and messaging around driving do not support this in a significant way. This is a long-winded way of saying what should be – what we want – is very different from reality. So how can we change reality? I wish I had the answer
Automate driving.
The thing I like about this answer is that unlike all the policy prescriptions (reconstruction, enforcement, education, etc.) that can at best address a tiny fraction of the problem (which is, at its root, human nature itself), automation is going to happen without any action on your part.
There may be downsides to the technology we haven’t yet realized, but from a street safety perspective, it is changing reality.
I wish I had the answer as well but believe that Bike Portland and active transportation organizations have in fact changed the reality to some degree. My answer is on how to change reality is – more support for those organization. One in particular – No More Freeways – is in need of support right now because they are going after the Rose Quarter Project, which if allowed to proceed will foster the one reality that has done the most harm – more driving. I think the active transportation movement is very much like many others through history (clean water, clean air, civil rights, gay rights, etc.). It is a long hard battle with activist organizations and journalists (like Jonathan) leading the fight and ultimately winning by changing mindsets.
Outrageous is exactly the right word. But also as I/we know from reading almost twenty years of bikeportland reportage, all too common. And what’s more the PPB gets away with this just like drivers get away with it; why even have a VRU?!
Did Timmerman file a civil suit against the driver? That’s a way for people to get compensation for injuries caused by someone else. Compensation is another form of accountability.
I wondered that too. But then figured without a ticket her chances of winning a civil suit would also be diminished. Or are there reasons not to assume this?
I wouldn’t assume that.
If the driver is at fault for causing the injury, it doesn’t matter whether they violated the law, so I wouldn’t think a ticket would have much bearing (except to the extent it establishes what happened). It sounds as if there is ample other evidence about what happened here to make it clear who is responsible for the injury and damage.
But maybe a civil lawyer has a better answer.
A citation is always really important in pre-suit car accident demands to insurance companies. If there’s no citation, liability can more easily be disputed. Luckily in this instance, there was video and a witness, plus low policy limits probably motivating the adjuster to just get the case off their desk. But $25k policy limits isn’t going to cover a lot for a broken bone and all the rehab necessary. I hope Lisa had a good UIM policy limits.
I agree — the minimum liability should be at least $100K (ideally informed by data about the actual cost of a crash), and there should be a process for revisiting that amount regularly.
Cyclists who also have auto coverage should carry the maximum amount of Uninsured/Underinsured Motorist and Personal Injury Protection coverage on their own policy to mitigate the financial impact of a hit and run or a collision with someone who has a policy with a $25,000 limit. Unfortunately this is much more complicated for someone with a car free life but they may be able to buy some protection from employer affiliated accident and short term disability policies.
You’re right that a citation isn’t required to succeed in a civil case — liability hinges on the driver’s actions, not whether police issued a ticket. But a citation can help by creating an official record that reinforces fault, and the absence of one sometimes gives defendants more room to dispute or minimize responsibility.
In this case, though, the combination of video, a neutral witness, and the driver’s own admission would likely carry far more weight in a civil claim than any single citation would. Ultimately, the police decision affects accountability in the public-safety sense, but it doesn’t prevent civil recovery.
The article said the driver was 21, the amount of insurance drivers are required to carry in Oregon is shockingly low, my guess is that she settled for far less than she deserved because the driver was basically judgement proof.
Yes another aspect of this story (that I’ll save for a separate post) is that the driver had the minimum insurance – a paltry $25,000. Lawyer Chris Thomas is putting together legislation to increase the minimum to $100,000 given that the current minimum often fails to pay the bills.
25K is obscenely low, and frankly irresponsible — it’s virtually impossible to sustain an injury that lands someone in a hospital that costs so little.
Even $100K is far too low — I seriously doubt that would cover just the medical bills in this case. Just so happens I was in a bike crash this year that cost ~ $70K for just a couple days in hospital and follow up care.
If Timmerman drives, her car insurance would cover her even if she’s on a bike. Health insurance should also cover, and then both of those would go after the driver. That still leaves her out a lot, which is why I presume she secured representation to explore the full range of options which would include stuff like garnishment. But even if that works, it’s not going to feel like any kind of win.
Again I hope an attorney will weigh in, but I thought the judgment in a civil case doesn’t depend on the amount of insurance. If a court said the driver was liable for, say, $100k in damages and the driver had just $25k in insurance, then the driver would need to come up with the $75k balance on her own, right?
Hitting people with your car should have consequences. (Hear that, PPB?)
That 75k has to come from somewhere–a 21 year old driving an almost worthless car won’t have it.
Judgements for life do wonders for restitution.
Whether you can *collect* the judgment matters a lot. You can’t get blood from a stone. Sure, the victim can get a judgment in court for $100,000, but if the driver doesn’t have the ability to pay it, the judgment is worth no more than the paper it’s printed on. Attorneys prefer to take cases where there is either a rich defendant or adequate insurance so their client (and the attorneys themselves, of course) can actually get paid when they win.
The guy that hit me had no license and no insurance – but at least I got something from my auto insurance’s “uninsured driver insurance”.
I increased my auto coverage for myself as well as the uninsured driver coverage to 250k per person/500k per collision for precisely this reason. It is frustrating that we have to pay extra to subsidize uninsured and underinsured drivers but because that is most drivers in Oregon it has felt worth it to me to up the limits.
This is the way. It is very cheap to increase your underinsured motorists coverage. Max that shit out. And if you get hit hire a lawyer. I can’t recommend Chris Thomas enough after my accident.
For those that are curious, my current medical expenses were in excess of $140k. I was able to have that covered via a combination of different insurances, but the driver had only the minimum for Oregon, which is some of the lowest in the country. As the driver was a young person they have minimal assets, so that is an inherent systemic inequity that the outcome is fully dependent on who hits you. Any future expenses – which for me may include a full ankle joint replacement down the road – I will need to cover myself. I have been encouraging most people I know to revisit the coverage they have to protect against minimally insured or non insured drivers.
Thank you Lisa for commenting here. I was dreading learning that you’d have to pay for some or all of the no doubt enormous medical expenses resulting from this careless driver’s behavior. I’m so sorry our system is so screwed up that you would have to go through all of this. I bike through that intersection all the time too.
I am so sorry this happened to you.
So you got a judgment?
I am so outraged by this situation Lisa.I cannot imagine a more innocent person. We are all very sorry for what you have gone through. I just finished writing letters to my city council members and the mayor. In this case, the actions of the PPB are not acceptable. This needs to change.
Yes, let’s put all the responsibility for achieving justice on the victim and not the cops who are supposed to enforce traffic laws. Great system.
Actually, let’s not do that.
Fine by me. But that was the only suggestion you offered. Not sure what else people are supposed to conclude from that.
I didn’t offer that suggestion. I don’t know why you would think I did, as that’s not something I would say.
No, just something you would strongly imply, I guess.
The two times I have seen drivers blow red lights directly in front of PPB, there was zero response. The fact that a person seriously injured another in this case and there was still zero consequence is even more egregious.
It is maddening but also absolutely SOP in my experience-as-a-reader-of-bikeportland. Alan Durning called this CarHead and folks here used to throw fits when I (over-)used that phrase in the comments here.
How do we gain on this?
Sue the PPB, too?
I knocked on a cop’s window after he watched someone blow a red light and he literally said to me, “what do you want me to do?” WRITE A FUCKING TICKET THATS WHAT
Well, if you’re a cop and get told you’re racist for writing tickets, the number of tickets being writte tends to go down right?
“if you’re a cop and get told you’re racist for writing tickets…”
Why don’t we distill a complex but very real and present challenge our society faces into a clickbait soundbite? That will surely advance the cause, help us to be kinder to each other, listen.
Like ACAB?
So insightful, interesting, productive. You rarely disappoint.
This article and the accident its about is just ore evidence that ACAB is true. Im sure you will just say “a few bad apples” while ignoring the fact that if you do not remove the bad apples, they will spoil the rest of the apples.
Yes, ACAB
Sky, come on. Disagreeing with the officer’s actions is fair game and very reasonable — tossing out ‘ACAB’ like confetti isn’t. It adds zero light and a whole lot of heat. Jonathan, why does stuff like this get a pass here? If we’re trying to have an actual conversation about accountability, letting open hate slide doesn’t exactly raise the bar.
But…but all cats ARE beautiful
“letting open hate slide”
Cops are not a downtrodden ethnic minority, saying ACAB is not hate.
This stuff gets “a pass”, I assume, because it’s a reasonable opinion that a person could reach given the evidence, even if you don’t personally reach that conclusion.
That’s what I say every time I hear about cops letting law breakers off the hook.
How awful that people say mean things about cops sometimes. Totally justifies their refusal to do the job we pay them for, amirite?
So for those folks who instantly jump to manned enforcement as the answer to street safety: the admission of guilt, video evidence, serious injury, clear PPB report where guilt was firmly established, and solid witness statement resulted in nothing.
Just as motonormativity exists with most people in US culture, police are not immune. People have different standards for behavior when cars are involved. There was a great experiment by Ian Walker that laid this idea bare:
People shouldn’t drive in highly populated areas where other people have to breathe in car fumes.
People shouldn’t smoke in highly populated areas where other people have to breathe in cigarette fumes.
17% of people agreed on the first, and 75% agreed on the second. People scream at others on the road, but not in the grocery store. Drivers, despite blatantly illegal/dangerous behavior, get a get out of jail free card a lot of the time because it is difficult to imagine life outside of a car. That inevitably bleeds into unofficial policy in manned enforcement, and Lisa’s case is just an extreme example of a common occurrence.
On the other hand, the outcome with a traffic camera is clear. The person running a red light will be issued a summons and court date without exception. That evidence cannot be ignored, and can be used as further evidence even if the police do not wish to issue a citation.
I wish it were so clear cut. My sister in law got zapped by a red light camera but because the car was registered in her husband’s (my brother’s) name he got it dismissed by saying he wasn’t driving. Ha!
Sure, there are always exceptions when that is the only evidence, there was no collision, and people are willing to take the time to go to court to fight it (and now two people are thinking twice about speeding instead of just one). In this case there is testimony from other witnesses well as other video evidence to build a case. Getting that somehow dismissed in court would be exceptionally difficult.
How would the camera have gathered all that evidence that was available to the officer? Just because one officer made a very bad call shows more vulnerable road user training is required, not that human enforcement isn’t needed.
The one bad apple trope has been disproven so many times, let’s not pretend that this wouldn’t have been the outcome if another cop had rolled up.
So how would the neutral camera gather the evidence?
The post wasn’t about the single officer who made a horrible decision. It was asking people like you who are biased against police to explain how cameras can do all the evidence gathering that the police can/should do.
Folks sure like to jump to a pre-determined narrative around here.
Red herring
If you reread the post, it is not pro- or anti-police or pro- or anti-enforcement. There is no pre-determined narrative or ideology. ACAB is a substance-less catch-phrase. There is no rejection of manned enforcement targeted at specific types of infractions.
Police are essential just as evidence gathering is essential, just as DUI stops and crash investigations, etc. But the traditional view of enforcement is that police officers should shoulder the entire burden of traffic prevention/enforcement regardless of the infraction. That has created an unrealistic expectation where cops are expected have an influence on everyday behavior across the entire city. That requires a subjective filter for cops where some (most) infractions just get ignored because the scale of the problem is so overwhelming. And it is one of the main reasons why the US continues to have 4-5 times the number of road deaths as most developed countries.
HVE is not effective in it’s current form to have a lasting effect on crashes. In general, manned police are not effective in reducing speeds unless they are consistently present for an extended time period as the research shows above.
Human enforcement IS needed! But the way we employ it does not act as an effective deterrent for most driving infractions. Look around at everyday traffic and you can clearly see unsafe behavior nearly everywhere.
Traffic cameras are not perfect, but they are as unbiased and consistent a tool as we have for speeding and red light running. Most people who speed, tend drive recklessly so the overall effect reduces those behaviors as well. Fortunately, the evidence on traffic cameras is robust. We know that within a few months, they tend to have a predictable effect (~20-50% reduction in crashes).
Traffic cameras also serve as a go-around for such situations as this article shows. That means that there is little to no choice for police officers when a camera shows evidence of an infraction. And even though an officer might be lenient with some behaviors, the automatic issuance of a summons acts as a means to pressure officers (and judges), who might otherwise shrug.
Bjorn, saying “this would’ve happened with any other cop” just flattens the issue into an ACAB talking point instead of actually dealing with what went wrong here. Yes, there are systemic problems with how traffic violations—especially ones involving drivers harming vulnerable road users—are handled. Yes, too many officers under-enforce. Those are real issues.
But writing every incident off as “any cop would do the same” ignores the whole point of accountability, training, and policy change. If we want better outcomes, we need to think in terms of systems that can improve, not in blanket assumptions that guarantee failure. That’s exactly why people are arguing for things like standardized camera enforcement, better training for responding officers, and clearer policies around evidence and citations.
Critique the policies, critique the culture—fair. But pretending there’s zero variation between officers shuts down the kind of reforms that actually lead to safer streets.
When people do “critique the culture” of policing in the USA, you get bad-faith actors crying about how mean everyone is suddenly being to the cops. Sound familiar?
The crazy thing about the bad apple trope is that the quote is, “One bad apple spoils the whole barrel.” The meaning of the saying is not that its okay to have a few bad apples here and there, it is that a few bad apples corrupts the whole system.
Nobody but possibly the driver lacked any training.
Well, the cop could use more training on when to issue a citation……
But it’s still up to the cops discretion. I don’t believe he didn’t know this was a clear cut case he should have cited for. I don’t believe he lacked training. He had the discretion (that he shouldn’t have) and he used it.
You can train all you want, if the cop is allowed to ignore it they will.
Yes – same thing for my wife (who owned the car) and my daughter (who was driving). That’s an Oregon law that needs changing. If you own the car and someone breaks a law while driving it, you pay the fine.
That’s when cops aren’t the ones running red lights themselves. I’ve seen it myself. And no, they weren’t responding to an emergency.
I believe it’s possible for a driver to be sufficiently traumatized by hitting a cyclist for criminal charges to not really add anything. Having said that, if someone is truly sorry, they would also be willing to own up to the responsibility to make the person the person they harmed as whole as possible.
I’m not a huge fan of the word justice. Even if charges had been filed, the civil side of this equation was going to provide more accountability than the criminal side. But no matter what happens, nothing makes up for a messed up body — even in a best case scenario, that’s a lot of misery to have to endure. Hopefully Timmerman’s condition continues to improve.
Regarding that specific intersection, I see a lot of speeding there and there’s something about the sight lines that I really don’t like. Given how heavily Clinton is used by cyclists, seems like improving the safety of that area would be a good investment.
Personally I don’t care about criminal charges. I agree it might not add anything. But take her damned license!
I agree. Suspend her license and have her take a training course, written exam, driving exam before she can apply for the test to get it back.
The stop light at Clinton effectively does not exist because it only changes to red some time after a person arrives at the crossing on Clinton. Since we know the light is a hazard, let the stroad default to red and only change to green when a person has stopped for a count of 90.
Man, I just can’t process how I feel after reading this. I feel… sad? Angry? Hopeless?
The thing that frustrates me most is how many deaths and injuries happen as a result of driver negligence, but then the driver just gets to drive away like nothing happened? That’s insane! Imagine if someone shot another person and the cops handed them the gun back and told them to “have a better day”. Surely we can all agree that at the very least drivers should be cited for their negligence.
Many members of my community have been killed or maimed by negligent drivers. I constantly struggle with the thought that the people who victimized them are just out there facing zero consequence.
We need better infrastructure. We also need enforcement. Though, what is the point of funding that enforcement if they aren’t going to follow through on the law, especially in a clear-cut case like this? I’ll for sure be writing Mayor Wilson and my councilors’ offices – though I’m not sure that will accomplish anything more effective than me shouting into the void off a bridge would. I’m probably going to do that tonight too.
I am wishing Lisa as good of a recovery as possible. When I was run off the road by an aggressive driver and crashed, I broke my hand. Between healing and physical therapy, it took almost a year for me to get back to 100%, so on some level I empathize with her plight. I will be following this case as it unfolds.
If a driver gets a ticker from an automated camera can they appeal it by saying sorry and they didn’t see the red light?
It’s stories like these that highlight exactly why more enforcement won’t lead to more safety.
Beyond Timmerman’s situation, if reckless drivers aren’t being ticketed for reckless driving, their insurance isn’t going up. The risk of premium rates is probably likely to do more to change driver’s behaviors than the cost of the ticket itself–I have nothing to base this off of, just a hunch.
I think you took the wrong lesson from this story.
How so? How could a cop prevented this at the time? When called to respond they did virtually nothing.
Seems to be the exact lesson we need to be taking. If cops arent going to enforce the laws, getting more enforcement officers isnt going to change anything
If you are going to tell someone they got the wrong lesson, it only makes sense that you share what the right lesson is.
“I’m not trying to ruin this person’s life – just to reinforce some accountability.”
The drivers financial life should be ruined. She literally nearly killed a vulnerable road user causing devastating short and long term injuries.
Car caused injuries are life altering and I certainly hope the drivers insurance is paying all incurred costs to Timmerman as well as her lawyer looking at suing the driver to reflect pain/suffering/lost current income/lost future income and cost of future surgeries. Plus a new bike or car (or something) if Timmerman is unable to cycle or be mobile for awhile.
Yes, let’s ruin people permanently!
Agreed! If someone tried to kill me (as they did and I am still crippled and afraid for my employment after being hit by a car so it’s very personal for me) as the driver tried to kill Timmerman, then I would want them to remember it for a long time.
Thanks to Delaware politicians, student loans are eternal, shouldn’t assault and near murder also last a long time?
This thread is taking a dark turn 🙁
“The drivers financial life should be ruined.”
My position in general is that our government should create the conditions of broad financial equality. I don’t think ruining people’s financial lives would help that, so I’m skeptical of your position.
Even as regards to convicted criminals (drug dealers, murderers, etc) a normal perspective in left of center politics is that, *after punishment*, we should hope that people are able to successfully rejoin society.
“I certainly hope the drivers insurance is paying all incurred costs to Timmerman as well as her lawyer looking at suing the driver to reflect pain/suffering/lost current income/lost future income…”
Yes! We agree on this! Financial repercussions are necessary to create incentives against dangerous driving. To a degree, if drivers do not *fear* consequences for dangerous driving, they’ll continue to drive dangerously.
So incredibly frustrating and a big reason the violence continues. Recently, my son was legally crossing West Burnside and was hit (and seriously injured) by someone driving westbound who went from the outside lane to the inside lane because those in front of him were stopped. For my son! All of the witnesses reported his illegal behavior to the officer. He was only cited for failure to yield to a pedestrian in a crosswalk. Nothing else. Why? Because he, of course, stated that the sun was in his eyes. This was enough to avoid further consequences for reckless driving. A small fine and he was on his way.
Looking at just these two cases (the Burnside pedestrian and the SE Clinton cyclist) it seems like the likeliest way to effect change would be to get the attention of whatever people at city, county, or state level might be able to do something to change the laws about motor vehicle interactions with other road users. Which representative do we contact to start an initiative?
This is disgusting.
Is it possible to file a citizen-initiated citation? From my reading of the account, it would be successful, and would then make a civil suit stronger. Would it then be possible to file a suit against PPB?
This is what I was going to ask. I certainly would have pursued that if I were the victim or witness. That being said you have to get an officer to go along with it which seems unlikely if the responding officer already ruled it out.
Shameful, could’ve easily killed someone. We’ll never achieve Vision Zero goals without accountability at some level. If we’re not going to hold the driver accountable then PBOT should be held liable for damages and remediation so this can’t happen again.
I helped write the vulnerable road user statute, and have worked to have it enforced in several cases. In a hit and run case where a person who was walking was killed the officer refused to cite for it and did not seem to understand what the law was. The one time I was successful in getting it used was because I was able to contact the family of another person who was killed by a driver while legally crossing in a crosswalk and there was video evidence demonstrating that driver was speeding, and the family still had to demand that the officer cite for it in order to get it used. Even then the driver basically just refused to do the community service and the judge ended up waiving most of it and did not impose the fine. I used to think part of the issue was a lack of education/knowledge about the law among law enforcement but over time it has become apparent that it is in fact a bias in favor of motor vehicle operators. One more reason why I prefer automated enforcement whenever possible.
Thank you for your work developing the VRU statute. When it was first announced, I had hoped that it might serve to educate and hold accountable people who exercise poor choices behind the wheel of their motor vehicles.
If citizens are unhappy with the laws, they must pressure their legislators to make changes. If theses changes are then made, but not enforced, how do we proceed?
It’s become clear that PPB needs a ‘carbrain’ detox. It’s long been since time that officers should be required to walk and use e-bikes around the neighborhoods they serve rather than putt putt around in the gargantuan SUVs. Driving around should be for special cases rather than the norm of their day. Maybe then they’ll build some empathy for all the people navigating the city outside of cars.
I agree with you about carbrain detox but I also have tremendous empathy for officers who want the protection of their motor vehicles. Imagine people want to shoot at you and think of the protection the inside of a car or SUV affords. That’s what being a cop is like.
Even though officers tend to use motor vehicles, they should still apply the laws fairly, which the officer in this case clearly didn’t do. As JM pointed out, cops will throw the book at any driver who endangers them personally.
And exactly how often do the cops get shot at?
Its incredibly rare, so rare that your argument is complete nonsense. Being cop has pretty much nothing to do with being shot at. The vast majority of cops will never be shot at. The fear argument is nonsense.
Sky, mate… this take has big ‘I think danger is when my Slack notifications stack up’ energy.
If you really want to know what LEO risk looks like, book yourself a PPB ride-along.
A couple shifts seeing real calls up close might give you a better angle than lobbing ACAB grenades from the comfort of your swivel chair.
Officers who want or need the protection of motor vehicles should be conscious and empathetic of the needs of those outside. Officer discretion in the case of vulnerable road users who are not at fault is a mistake and it should be amended. We can’t change their feelings but we can communicate their responsibility more clearly. A traffic ticket should be the minimum consequence and the burden of proof should be on the motor vehicle operator.
Roofing and garbage collecting are much more dangerous jobs than policing.
@All – Which orgs are most effectively leading the charge to bring badly needed accountability to drivers who injure pedestrians and cyclists? Many of us would like to join the fight.
Hi Ben – what about drivers who injure other drivers or passengers? Do they need to be held accountable? Or not so much?
Me: “I like pancakes”
You: “So you hate waffles”
I’m sorry, what?
I think he was referring mainly to the topic of the post which was a cyclist hit by car. The other most vulnerable group are pedestrians. He was generalizing those two groups, but not at the exclusion of people inside cars injured by negligent car operators
Of course. If a driver is clearly negligent, they should be held accountable.
None, all the street safety orgs are too busy buying $10k e-bikes for kids and complaining that they can’t go to a meeting because the bike lanes are messy. It’s been incredibly blackpilling to talk to people from bikeloud and the like out in the wild. They’re really committed to the bit when it comes to no enforcement.
Don’t exaggerate, no organization is buying 10k ebikes for kids. Also please don’t generalize about activists from BikeLoud or otherwise. I pay dues for my own good reasons but we are not a bunch of ideological clones.
“Enforcement” is described above and is that what you’re supporting? Twice I’ve looked a police officer in the face and asked why a failed motor vehicle operator did not receive a citation. “Exchange information, our work here is done.”
I get it that being a police officer is a hard job. I wouldn’t want to do it. You’ll never hear me say ACAB, but infrastructure works around the clock, it doesn’t get disaffected and can’t possibly phone it in.
Why does it have to be enforcement OR infrastructure?
Did I say that? I think law enforcement officers have a role. They would work best in a matrix of infrastructure meant to keep humans safe, laws that are enforceable, and a legal system that treats offences in a proportionate way.
I’m frustrated by many aspects of the legal system. Seemingly we don’t have money for treatment or other social support but there’s plenty of political will and funds for incarceration*. A comment above mentioned the link between traffic citations and insurance rates which is a great rationale for throwing a brace into PPB ticketing practices.
Finally, I’m thinking the best memorial for the people we’ve lost on Calle Cesar Chavez would be to run a Rose Lane all up and down it, with 10 minute bus service and sporadic retractable bollards.
* Which costs about as much as a university education.
“Did I say that?”
It sounded like it to me, but if you weren’t saying it, then we probably fully agree that we need multiple overlapping solutions to improve traffic safety.
Which is actually what I think everybody here believes, except for a few ACAB defunding zealots.
Those words aren’t in the comment, or any similar statement. It’s a reply to “They’re really committed to the bit when it comes to no enforcement.”
It’s possible I misread/misinterpreted. Good. We agree. I think we all agree. When does that happen?
This is absolutely unacceptable. I’m so upset at the police, and cars, right now. Chavez is pretty terrible – I regularly see ghost bikes on it. There’s minimal affordances for pedestrians and none for bikes on it. I see cars blow that red light at Clinton pretty regularly. Why don’t we cut it down to one lane in either direction until cars prove that they can use it safely? And perhaps something could be done to reduce their speed and improve visibility at intersections? It’s frustrating seeing the same spots being the location of so much traffic violence over and over.
ban cars
“I decided to not cite Bell because she was remorseful and apologetic for hitting the cyclist.”
Different day, same bullshit. This is the same crap the cops pulled with the driver that took me out a few block up the road.
“I’m weawy sowwy fow shooting up that school officew”
“I understand sir, we all make mistakes. You have a better day.”
I can just blow a red light and run someone over as long as I apologize?
I’ve been hit by a car twice. In both cases, the drivers were remorseful. That doesn’t make it ok to drive a multi-ton vehicle recklessly.
This cop is giving absolution instead of tickets. His job is to protect and serve but has shown he is unqualified. If he doesn’t like that people ride bikes in Portland he should go somewhere else. Cops love to cry about being understaffed but this yet another example showing we are no worse without them.
COTW
So is it PPB policy that anyone who runs through a red light and injures a bicyclist with a green light off the hook as long as they say they are sorry?
Or is it different standards for different folks?
Great question!
Oh very much the latter. I got a ticket for filtering forward (on my bike), heading South at Chavez and Powell at the light there. I was turning left on green. Guy in SUV who was behind me ran the red light. Cop pulls him over but Guy in SUV tells cop he was upset with me for filtering forward so cop gives me the ticket instead of him even though he saw the red light running but not what I did (which was and is legal).
Really? Jesus, I was so proud that we had a bicycle anti-theft task force and cops on bikes downtown…how have we drifted this far? It’s so sad to me to think that I could be injured with evidence in multiple modalities and cops would excuse the offender. We need to address the laws and make them stronger or change them.
It’s too bad the Independent Police Review investigators are seemingly being replaced by the Police Oversight board whose main focus seems like it will be on dramatic events like “all police shootings, deaths in police custody and all complaints of force that result in injury, among other things. ”
If the IPR is finished with their strike (I hope they got the job security they wanted and deserved) and taking cases this seems like it would be a great one to bring forward. Clear and well documented evidence of an extremely poor decision by an officer that has real impact on the victim.
Bob, you’re right to be frustrated, but let’s be real here. Portland’s move to cut back on low-level traffic stops was supposed to address racial disparities. The idea was to focus on serious offenses, not nitpick minor violations. But now we’re seeing the fallout. People are outraged at the lack of accountability for dangerous drivers, yet many of these same folks voted for leaders who pushed these policies and continue to back them.
It’s ironic, isn’t it? You can’t demand more law and order while also supporting policies that reduce enforcement. If we want safer streets, we need to find a way to enforce traffic laws without ignoring the racial justice issues. Right now, the balance is totally off.
https://abcnews.go.com/US/police-bureau-policy-traffic-stops-address-racial-disparities/story?id=78442846
Red herring. That which we are here discussing is not a low level traffic stop. If the police can’t process this situation commensurately, why have them at all?
Nope, not a red herring. Portland didn’t just stop low-level stops — we tossed the whole tackle box in the river. No plates, no traffic division, everything ‘de-emphasized.’ So now a driver can run a red, hit someone, apologize, and apparently that’s the whole investigation. At this point it’s less ‘policy debate’ and more ‘whose job is this again
That’s old news angus. And stops were never stopped. You’re trying to grind the same old axe.
Jonathan, while traffic enforcement wasn’t completely halted, it did decline significantly and that reduction had noticeable consequences on our streets. The increase in street takeovers and the increase of traffic-related deaths and injuries compared to pre-2020 conditions is difficult to dismiss.
For context, in 2019 the Portland Police Bureau conducted approximately 33,035 driver stops. Following the June 2021 directive to de-emphasize traffic enforcement and the effective disbanding of the Traffic Division, that number fell to about 13,500 in 2022. That represents a decline of nearly 20,000 stops — roughly a 60% reduction in enforcement volume over just a few years.
Regardless of one’s interpretation, the magnitude of that drop is substantial, and it helps explain why many people perceived a corresponding increase in traffic lawlessness and unsafe behavior which has continued to this day.
What are the PPB doing with all their free time?
Gee, I wonder if anything major happened in 2020–2021 that would have caused a decrease in car traffic and hence traffic stops?
PPB’s traffic division was disbanded in 2021 to improve 911 call response times when homicides spiked. It wasn’t because of low-level traffic stops. And last year traffic stops were up to 24,000 after a two-year increase.
For all we know, those 20,000 fewer stops in 2022 were for low-level violations, i.e. exactly what the policy was supposed to do. Do you have any evidence that the reduction caused a substantial decrease in stops for unsafe driving?
Ok, lets just start dramatically cutting the police budget. I propose 10% per year.
Look at Sky go again — rolling out ‘defund the police’ like it’s still 2020 and we’re all baking sourdough, putting up BLM yard signs and spraying ACAB graffiti.
Portland already tried cutting the traffic division and the streets turned into a live-action demolition derby.
Maybe before pitching another round of budget liposuction, Sky should hop on a PPB ride-along and see what the job actually looks like outside their keyboard comfort zone.
This comment sounds pretty ridiculous in the context of a story where the officer refused to do their job, despite being paid to do their job. This is why people are skeptical of lighting the city budget on fire to for a police force that hates the people who live in Portland and are refractory to improvement. People wanting police that do their jobs is not ironic, not even hypocritical.
It sounds like you either didn’t understand or didn’t read the article you linked to. The policy change was to skip enforcement of low-level violations (it mentioned expired tags and broken headlights as examples) in order to allow for more focus on “poor drivers”–listing speeding and driving under the influence as examples.
Running a red light and seriously injuring someone clearly falls in the category of poor driving versus having expired tags, etc. In other words, the policy intended to allow police officers to FOCUS on exactly this type of stop. That’s the OPPOSITE of what you’re asserting.
Also–to head off what may be your next comment based on your previous comments–note the photo of the victim on the gurney clearly shows them wearing a helmet.
What type of injury was sustained? Let me answer that for you, a lower extremity fracture. Severe and terrible but at least not a traumatic brain injury right? Yay for helmets!
I have no idea why are are responding that way to my comment. I just pointed out they were wearing a helmet.
Your reply reads as an angry response to someone who questioned the benefits of wearing helmets, which I didn’t do, or even imply.
Since when is running a red light and hitting a cyclist a low level traffic stop?
If you actually read that story, you would see that “immediate threats to safety” are not considered low-level violations. The actual policy was to focus on “high crash corridors, reckless driving, speed enforcement and other moving violations that place people in immediate danger”. Last I checked, running a red light was a moving violation.
COTW
One also has to remember this was under the prior DA Schmidt’s watch, who didn’t like to prosecute people for crimes. What police officer would even want to bother to move anything forward with someone like Schmidt running the show?
Yes – that was a real Schmidt show. (sorry – couldn’t resist)
Like writing a ticket? That’s all the officer had to do. Come on, that’s trying to make a macro argument out of a micro situation.
The officer made a horrible decision all on his own and there was apparently no accountability by his superiors .
Ah yes, a cop was behaving like a typical cop, and it is the DA’s fault. This officer was also probably still traumatized by Hardesty and Eudaly and that one time people told them that it is bad to be racist or to kill mentally unstable people. Clearly the only way to hold the police accountable is to pay them more, right?
I was expecting to see innumerable posts from all of the voices that routinely call for more police enforcement, outraged that enforcement was not being enforced. /s.
I guess enforcement only matters, if it means hiring more cops to carry out their own little versions of the laws in their heads.
What a bad take. The DA doesn’t get involved in most traffic citations. The officer could have issued a ticket and a judge would determine the punishment. Are you suggesting the DA refused to “enforce” basic traffic laws so that’s why the police won’t pull people over for running red lights and speeding? It’s absurd.
I will suggest again that if we CLOSED DOWN ANY INTERSECTION OR STRETCH OF STREET on which there is a serious injury or fatality, and not reopen it until there were changes made to increase safety, we’d all be better off. Yes, that would inconvenience drivers. But it would also force real changes on our streets, and would push for more proactive improvement to dangerous streets/intersections. And if drivers knew that their routes were regularly closed down because of vehicular violence, it might inspire drivers to curb their own behavior too.
I know this will never happen. I know that because we do not value human life in Portland. And Millicent Williams just promised that under her direction, PBOT will continue “to prioritize safety as we have always done” — which is in such a way that Chavez Boulevard remains a street where lives are taken.
Well, at least all the drivers haven’t been inconvenienced.
That is a reactive approach and would ultimately be a game of whack-a-mole. It would help but in an inefficient way. Peer nations that have seen real results are proactive and make broad systemic changes.
No thanks, I don’t want SE Clinton closed. That’s how I bike to work.
Closed to cars.
The car driver at fault was not on Clinton St.
Director Williams needs better PR people who can advise her that “prioritize safety as we have always done” doesn’t mean what she thinks it means.
Yeah, it seems people get hit / killed at this intersection on a regular basis. As is, we just get ghost bikes and memorials there – so I get the grim reminders on my commute. But I don’t know if drivers even notice or care.
Two of my friends got hit at the same intersection that I did. One of whom had just been complaining about Portland’s poor bike infrastructure (way to emphasize your point, David).
It’s pretty clear the police do not want to spend time doing the paperwork and spending time in court, let alone answering journalist’s questions. 25K liability insurance is insane since every apartment I’ve rented here requires 100k renter’s insurance for the very outside chance of a fire. A car accident in Portland, I’d put the odds at 50/50 per day.
I hope Lisa is recovering and doing ok, and I hope she got her full UIM policy limits.
I also hope she filed a tort claim notice. Her statute of limitations is up next summer, but I’ll keep watching this space regarding any litigation against PPB and/or PBOT. It’s way past time for both bureaus to be held accountable for their failures and negligence. Letting a driver who hit and seriously injured someone go without a citation?! Insanity! If the vehicle had been any bigger, it would have caused a much graver injury. The city dodged a wrongful death claim here.
Honestly, what more can be said to persuade officials to take vulnerable road users seriously? How many ways can we plead with them to take us seriously? People walking, taking transit, or riding bikes are no less valuable in any way than people driving a car, but you’d never know that based on existing policies and procedures. It’s way past time for the people we have elected (and the unelected folks they’ve hired) to act accordingly.
Thanks for this reporting Jonathan. The fourth estate is vital to democracy.
Hell yes! Is a class action suit possible here?
Another way to look at this: If the driver runs a red light again, the next time it may not be a bike rider they hit. It may be a truck slamming into them and injuring or killing them.
Citing the driver, and forcing them to take the required traffic safety course, could have tipped the balance away from them running that future light and getting injured or killed themselves.
Or, of course, they could run another red light, and kill someone the next time. In either case, was it any favor to the driver to not cite her this time? The cop had a perfect chance to intercede in that driver’s life in a way that would improve that driver’s and others’ safety, and he failed.
i would sue everyone. the police, the driver, the city.. whoever i could. this is so outrageous. i think i’d also file a formal complaint against the officer for selective enforcement.
You’re gonna need a lot of cash for an attorney. Good luck finding an ambulance chaser who will take on this case for the usual 30%-40% of the winnings. The driver appears to be minimally insured and unless she is a trust fund baby not gonna have much $ and it would be a stretch to get $ from government entities for this driver’s actions and why would taxpayers be responsible for her irresponsibility?
not tax payers. cities/police etc are insured for lawsuits.. it’s one of the things that’s so frustrating. but the point wouldn’t even be the money. i would just want to be a nuisance until they made some changes. there has to be some path to hold people accountable.
Speaking of being common….
In the summer of 2023, a car accelerated into me from a stop sign to my right as I approached the Terwilleger intersection from SW Boones Ferry. I went over the hood of her car, got knocked out, taken in by ambulance, my bike frame was bent, but in the end I had no serious apparent injuries. The driver was given no citations of any kind based on the fact that she did not flee the scene!!!! This is the epitomize of case that warranted a major fine as a deterrent to others and as a punishment for negligence in order to enforce safe driving! If the vehicle had been any bigger, especially an SUV, I would have likely went under the vehicle instead of the top. Maybe then the PPB would have given her a citizen award for not driving off after killing me.
By the way, she was on her phone when she hit me. My face was a few feet from hers! That is kosher in a portland police traffic investigation apparently. No citation warranted. Nothing to see here. One more day closer to my cashing in my pension.
PS Middle of the afternoon, beautiful sunlit weekend, I had fluorescent yellow jersey, and THREE lights flashing! No other vehicles around other than the vehicle at the light that I was going to pull up behind.
This is absolutely inexcusable.
A little over a month ago while riding home from work I was hit by a driver who ran a red light and left the scene. Police never came to the scene. My girlfriend took me to the ER where I learned I had 4 broken ribs and a pneumothorax. Several days after the accident I had to have surgery to free up lung that was caught in the fractured ribs and had a chest tube inserted to remove fluid from my lungs. The first night I was in the hospital an officer called and took my report over the phone. I didn’t get a copy of the report until this week, nearly a month after the accident. There are several errors and discrepancies on the report, foremost among them the accident isn’t classified as a hit and run, just a traffic crash. I’ve called PPB and left a message but haven’t heard back. If this article and the comments I’ve seen on it are any indication, I suspect that I won’t.
Dangerous drivers need to be held accountable or nothing is going to change.
Please try to pursue this as best you can. This is a horrendous derelict of duty on the part of the officer. Please let me know if there is anything I can do to help you in your recovery.
In a few of the recent topics, commenters insisted incident-driven data was the best method of determining which and where streets need fixing.
That data is usually from a police report, n’est-ce pas?
Can’t see a problem if you don’t see any data. PPB’s failures to cite have an effect on PBOT’s safety programs that needs addressing.
Excellent point cct. This is usually why the traffic camera data is so striking when it first comes out.
From PPB Q3 report:
As a comparison the 122nd ave camera showed 5% of people traveled 10mph over the limit (compared to .4% after installation). That’s fairly typical for traffic data. If ~5% of people are speeding >10mph, the discrepancy between the vast number of people actually speeding excessively and PPB reported stops is probably several orders of magnitude higher citywide.
That also shows how infrastructure is likely a better generator of safety than in-person discretional enforcement – the camera has no discretion.
Built environments really matter: PBOT recently installed speed cushions on a busy road in SW Hills, and it took the edge of many of the speeds. Hopefully this pilot program will be expanded to other streets.
https://www.swhrl.org/wp/speed-cushions-work/
27% to 3% drop in speeding a min of 10mph over the limit is pretty telling. This is where speed bumps go. What a win for PboT and that hood.
On the other hand, Sam Balto was recently talking about speed bumps installed on greenways en lieu of divertors. Bumps aren’t bad per se, but they’re more expensive and less effective at limiting ADT (which is what greenways actually need). Build for what you need, not for what is politically expedient.
I’m surprised that anyone is surprised by this. This type of s*^! happens every day. This is a good example of the secondary trauma so many crash survivors experience. First you are traumatized by the crash itself. Then you are traumatized by the realization that there is more sympathy from the police and justice system for the at fault driver than for the victim. This story is tragic. But so so familiar. If you are reading this and feeling surprised – forgive me – but you haven’t been paying attention
I support your right to ride wherever you feel is safest. Do be careful at intersections though.
And please don’t be like that guy I encountered last night on the sidewalk in Ladd’s Addition who was using the sidewalk to try to pass a bus, and forced me to step off into the mud.
That guy (I think, I couldn’t really tell with his super bright headlight shining in my eyes) was a dick.
Yeah if you’re gonna ride on the sidewalk you gotta be extremely courteous and go slow when you need to.
I am curious to hear more from Officer Allen, the PPB public info officer, to provide context about his statement that “in most circumstances, policy and the law grants police officers the discretion to determine whether a citation (or arrest) is appropriate to the situation.” How often is this “discretion” used? In how many recent cases in Portland, for instance, has one car crashed into another CAR with significant injuries similar to Timmerman’s, and the clearly at-fault driver NOT been cited?
Reading this also makes me anxious about my insurance situation. I don’t have a car or car insurance. Is “personal injury insurance” something I should look into?
It is possible to buy Accident/Injury, Short Term Disability, and Long Term Disability insurance for yourself but coverage via individual policies can be very expensive compared to a group policy from your employees benefits (advertising featuring a talking duck can’t be cheap).
USA Cycling has a very affordable policy that provides 50K coverage for any accident where you’re on a bike. Unfortunately, they don’t seem to offer any higher levels of coverage.
Yes, but if we reach the point where people who walk and take public transit everywhere will have to buy personal injury insurance simply to leave home, then the insurance industry has won and it’s game over.
Thats not a world I’d want to live in.
@Jonathan, could you chase down PPB’s reps for comment?
Was that you this morning speeding by this morning on your throttle controlled ebike as I was walking to the shop? The sidewalk was too narrow and the bike went by too close and way too fast. Your attitude about taking space away from pedestrians so you can feel safe riding your power cycle sounds very much like the safety arguments my acquaintances give for choosing ever larger vehicles. Of course, if you really don’t care what anyone says, I expect you will be finding out why we don’t ride on the sidewalks when you injure an even more vulnerable road user.
The likelihood of the driver being able to speed through the intersection given a 4 to 3 conversion would be extremely low. Chavez at Clinton needs a median for pedestrians and 1 lane each way.
I had a close call with a northbound car on Cesar Chavez blowing through that light, so I don’t venture into the intersection until I am sure cars are stopping. My variation on the Cold War motto, when it comes to vehicles: “Don’t trust, and verify.”
“Don’t trust, and verify.”
That light can be a bit of a surprise to folks driving north as it is on the other side of a hill, and the flashing yellow warning lights can be a bit of a mystery if you don’t know the area. If the driver was checking BikePortland at the critical moment, I could see how this would happen.
Crossing carefully seems very prudent. I’m going to try to pay more attention to this intersection in the future, despite the temptation to hammer it when you see the blinking pedestrian signal.
Thought bubble of motor vehicle operator seeing flashing yellow lights: oooh, pretty!
Maybe instead of yellow lights we should have rotating wire brushes with 100″ clearance.
“100” clearance”
Like in a car wash? I’m not following your logic?
It wasn’t a serious suggestion. That’s 8’4″. Hard to drive through at speed but not fatal. People routinely ignore yellow traffic control devices so what can you do?
To me, a ‘self-enforcing’ design is one with actual rules in place – like a roundabout which is self enforcing (and next to no running costs or maintenance). A traffic light is a suggestion of action and requires outside assistance to regulate (I.e. a cop) which is why it is terrible design. Traffic lights also encourage fast takeoffs and speeding between lights because of all the empty road space they create. This is opposed to the good design of a roundabout which creates ‘trickling traffic’. That is very predictable traffic making it much easier to manage as a pedestrian. Traffic lights are Portlands M.O. so in that regard pedestrians and cyclists are never going to reach a place of comfortable safety.
When dealing with a traffic light based system you have to assume at all times that rule breaking will occur in order to stay as safe as possible. Sad but true.
“””
Safety activists will often say that good roadway design is self-enforcing. In the case with Cesar Chavez, the opposite is true. With its car-centric design, police enforcement of traffic laws is one of the only tools we have to keep drivers in check.
“””
Methinks this bit failed in the editing process. While good enforcement is necessary in car-centric design, “good roadway design” championed by safety advocates is not car-centric. It makes speeding uncomfortable, it makes intersections glaringly obvious and encourages full stops or drastic speed reduction at those intersections, it discourages wondering/lane deviation thru narrow lanes bordered by potentially lethal obstructions.
We have collapsible barriers between bike lanes and road users so that cars can just push them over. We have construction drums and light poles and road signs that are designed to preserve the driver’s life in the event of an accident. The only “safety” in American road design is the safety that allows mishandling of automotive weapons at high speed. If Cesar Chavez was designed with safety for all users in mind, it would force drivers to operate their vehicles in a way that preserves the safety of all road users, including drivers.
My half-brother wrapped his car around a tree in while driving drunk in Portland roughly 2 decades ago and died. Good road design would have meant that he probably would have collided with something or rolled his vehicle before he got far enuff away from the bar to build up speed and slam into a tree.
KenJen, really great points. Sorry about your half-brother. “Good road design” is a tricky inherently-historical, topic.
“Traditional” traffic engineering takes 50+ years of design principles for highways (e.g., clear zone, break away bolts, wide lanes etc) and pastes those lessons onto the urban environment.
Confessions of a Traffic Engineer and/or Life After Cars give an idea of how these principles, while often effective and well-intentioned for highways, were applied to cities with the predictable effects you described.
Most of what traffic engineers have found to work well on highways, is the exact opposite of what works well in cities (e.g., adding trees to obscure sight-lines is actually safer). We’re still catching up on this in the US.
Exactly. Unfortunately, Chavez was widened for the above traditional engineering reasons some time in the 50s. And simply repenting and recognizing those choices were poorly reasoned, isn’t enough to garner support to make it safe. Too many people inside and outside our city council have a difficult time comparing the immediate reinforcement of faster travel (not to mention the is-ought fallacy), to the more abstract benefits of slower/consistent traffic and predictable reduction in deaths/maiming that occur on this street every year.
Officer Martinuc should be fired for repeat safety violations of his oath of office to serve and protect.
His same excuses let a deadly driver get off with no penalty. August 28, 2024. SE 28th and Clinton. I was there before the cops and AMR showed up. Martinuc told me he will not cite a driver at all. The driver had a) expired plates b) illegally covered plates c) blew a stop sign and mowed down a cyclist (JH) on SE Clinton Place.
Can anyone lookup 435 HJK Oregon Plates to see if they have harmed anyone else?
The bigger problem here is that there is very little news media about this. The Bike Transportation Alliance became the Street Trust and became toothless. Douglas James Walker of Beaverton drove his car up on the Burnside sidewalk and left the lane of travel and killed Ben Carlson in 2015. Ben was a pedestrian on the sidewalk. No citation was ever given to Walker. I asked for help from Bike Loud and the Street Trust and Jonathan Maus and the Families for Safe streets and nobody took action.
I bike commute 100 miles a week and I see these cops make excuses to not cite drivers all the time. PDX cops also refused to cite a driver in 2017. The driver mowed down Max. Just like JH I was there with Max and waited for the cops and ambulance to haul away the bike victim. And in 2017, zero citation. I have been there 3 times where cyclists were hauled away in an ambulance on Clinton when a car driver approaching clinton did not stop and yield.
I wonder what is the weekly data on how many miles each bike loud board member puts on their car versus their bike?
You’re a piece of work, Joe.
What you’ve written here is horrifying, a serious indictment of the system we’ve created, and a powerful argument for change. But over the years here in the comments I have experienced you as consistently angry, mean to other commenters and to Jonathan (and to me) in ways that are totally uncalled for, vicious even. No humor or compassion. You make it pretty difficult for anyone to join your cause.
Watts: hey there! You are right, that comment of Joe’s was edgy and dark. I know Joe and in person he’s pleasant and there to serve in the world. It’s not just the on-line versus real life disparity, it also sounds like he’s had a bad run of luck in happening onto crashes. A car crash into a human is so ugly and unnecessary that a person who isn’t angry–you know the rest.
I’m concerned about myself in that my daily exposure to sketch driving does not help my attitude. My mom had a degree of paranoia and in her later days, when not under medication, would swear frightfully which was something she never did in life before. It makes you think.
Why in the world do we have modes of transportation that induce rage and fear? Riding a bike is very like a dance, it’s inherently joyful, but some car drivers think we are all angry unreasonable people out here. From long habit I clear my throat when I see or hear a car rolling up to a questionable stop at a cross street octagon sign.
I guess I don’t fit your narrow and neuro centric ideals for living , and clearly I need more humor and you are the victim…
my options are.mine and they are based on uncontested evidence.. it’s nice JM jas written in a new trend to call out police abuses and how they harm our street safety. Perhaps he can do one in the style of the onion on April first.
Can you show me a bike loud or TST web article that calls out cops for their inaction in the past ?..
You are entitled to your opinions with or without supporting data …say hi some day and in person… it would be good to know your real name and career. I won’t dox you but it would help me avoid you and meet your needs for humor .
Did you file a complaint on Officer Martinuc? Seems like your report from 2024 should be investigated.
https://www.portland.gov/ipr/file-complaint-or-commendation-about-police
I will now. Thank you for the link. Even if they close it my effort is worrh it and I should have filed this back in 2024 …we have the evidence from his body camera at the scene and later on the phone. He called me when I asked why no citation was given. Even if the evidence is gone I will try. I was ignored when my 2004 case was taken to the IPR.. I should have filed a civil suit on the cops and lower court judge when case was heard by 3 judges on the court of appeals and they ruled in my favor. The whole system is a mess and complaints often go nowhere but I will try ..thank you for having an opinion and also respecting my opinions and observations
This seems to be a pattern with this officer. Are they the best fit for the Portland community?
Joe,
Read this comment. It’s good.
https://bikeportland.org/2025/12/05/selective-enforcement-by-portland-police-adds-to-crash-victims-pain-398457#comment-7565846
José, are you and the accentless Jose the same commenter? Just curious since you are directing us to the other Jose’s comment.
How do we get this officer fired?
I get why people jump straight to “fire the officer,” but that kind of reaction rarely leads to real accountability or safer streets. What does create change is using the oversight systems we already have — and insisting they function the way they’re supposed to.
If someone believes the officer acted improperly, the first step is filing a complaint with IPR/PAB so the incident goes through a formal review. That’s the process that can trigger discipline, retraining, or policy adjustments. It also builds a documented record, which is how patterns of behavior get identified and addressed.
But this isn’t just about one officer. It reflects a broader pattern of discretionary under-enforcement around crashes involving vulnerable road users. Fixing that requires more than punishment — it requires better training and ongoing education for officers, especially around traffic law, pedestrian and cyclist safety, and the role of enforcement in reducing serious injuries.
So yes, hold individuals accountable. But the real path forward is structural: oversight that works, policies that are enforced consistently, and training that equips officers to make better decisions in the first place.
Very helpful, thanks for this info
This sounds nice, but this incident shows that the “system of oversight that we already have” is an absolute failure. The Police Union fights against accountability or improvement of officers. And, Police and the union has repeatedly fought against reform, even though the people of Portland have voted overwhelmingly for change.
Despite popular belief, cops are not legally obligated to protect anyone. Yet another example of how more police won’t make us safer.
Steven,
The claim that “police have no legal duty to protect you” is routinely invoked as a trump card, but it misreads what those court decisions actually say. They limit tort liability, not the broader institutional mandate of policing within a democratic state.
The real challenge isn’t the existence of police but the design of competent, accountable public-safety systems. Reducing a complex governance problem to a legal technicality obscures the deeper truth: collective security depends on coordinated institutions, not reductive slogans.
Apparently this cop didn’t feel any such mandate existed here. Ah well, I’m sure it’s just an isolated incident.
She thought that she “had the green” because she was looking down at her phone during the time that it turned yellow and then red. She likely didn’t look up until after she hit the cyclist. The fact that she got let off because she was “remorseful” and “apologetic” for hitting a cyclist is absolute insanity and doesn’t excuse the fact that she injured another person with her inattention and negligence. I cannot believe this! So now anyone can just hit anyone and be excused if they are apologetic and remorseful for possibly altering another person’s life forever?!
Or is it just if you hit a cyclist or pedestrian…?
Christine,
Agree 100% there need to be consequences but how do you know she was “looking down at her phone” ? And is conjecture such as this helpful?
Maybe Christine could have added a second “likely” but I don’t mind she said what certainly seems to be a logical explanation for a crash where a driver runs a red light and hits someone without even slowing down.
And yes, conjecture in this case IS helpful. If people were conjecturing that the likely reason for the crash was poor lighting, tree branches blocking the signal, a broken signal or whatever that would indicate possibilities for some actions to reduce the chances of it happening again.
In this case, it seems there’s a general belief it was caused by bad driving. So that helps in figuring out what might be done to reduce it from happening again.
Also, conjecture is common when discussing something where all the information isn’t known. You did it multiple times yourself just in this article’s comments (comments about how cops change their willingness to issue tickets, the impact of the victim wearing a helmet, etc.)
Either she was distracted or incompetent. in either case I don’t want her behind the wheel of a two-ton metal battering ram cruising down public streets. But hey, that’s just me.
Just out. 41 dead and counting. And here we are debating about infrastructure vs enforcement. It’s time for a full court press by ALL means on Portland’s epidemic of traffic violence, not pushing one’s narrative.
https://katu.com/news/local/pedestrian-dead-in-north-portland-crash
“And here we are debating about infrastructure vs enforcement. It’s time for a full court press…”
Why do you see these as mutually exclusive? I don’t have access to nor can I motivate a full court press. Can you?
What does this mean in practical terms and what is the effect you’re looking for?
If you ever needed evidence of corruption either by attraction, influence or money, this is it right here.
Speaking as a recently retired police officer, Careless Driving is just a violation/citation and would not have been enough in this case. Based on the driving and serious injuries, the driver SHOULD have been charged with (and still could be by the DA’s office) Reckless Driving, which is a Class A Misdemeanor. The ORS 811.140 definition includes, “Recklessly drives a vehicle upon a highway or premises open to the public in a manner that endangers the safety of persons or property.”
Hi Jim A,
I don’t think Reckless would be possible here because I’m pretty sure Reckless require proof of mental state that the driver, “consciously disregarded a substantial and unjustifiable risk to people or property.” In a case where I would assume the defense would be, “It was a mistake and I didn’t mean to run the red,” that mental state is simply not present.
Likely true. But if there’s bodycam footage and the officer asked the right questions (or the suspect volunteered something), the Reckless charge could be prosecuted successfully.
Good point. Bodycam footage isn’t easy to get, but I’ve been considering asking for it in all these cases.
“the Reckless charge could be prosecuted successfully.”
Jim,
I am heartened by your comments here, appreciate you weighing in, but I also have to register my doubts. We (readers of bikeportland) here have been frustrated, enraged, tormented by a long-standing pattern of what looks like a cavalier attitude on the part of law enforcement, district attorneys, and the rest of the system toward violence associated with deplorable driving behaviors. We have laws on the books (VRU, safe passing distance, basic speed rule, etc.), and plenty of experience with how they are invoked (mostly not invoked) when someone in a car kills or maims a person not in a car, and far too few examples where the outcome feels fair or just to the vulnerable road user.
My question to you, as someone seeing this from the inside as it were, is whether you can offer us insights into what the problems are and how we might help improve this situation? Do you agree with my sketch above? If not please elaborate.
Thanks for your time.
This is beyond infuriating.
I do see cars blow through this stoplight often enough that when my light turns green, I look in both directions first to make sure the cars see and are actually stopping. Usually it’s just them continuing to go through the intersection shortly after their light turns red.
Are cars usually like this? Or could this not looking like a “major” intersection have something to do with that? The bike boulevard crossing of Powell at 28th is a similar setup where no through traffic of cars is allowed, but that intersection seems a lot more built-up / visible as far as infrastructure. Maybe it’s the better view with fewer trees and houses and such around the intersection, more yellow paint, the median blocks, …?
I think that’s part of it; another part is the hill just to the south obscures the light from northbound vehicles until they’re right on top of it. There are warning lights, which can be helpful, but are obviously not a panacea.
I am quite confident that the driver did not intentionally run the light — it seems obvious (to me, at least) that, for whatever reason (distraction, tired, whatever), she didn’t see the light or the cyclist crossing.
28th & Powell has much better visibility.
Your clairvoyance is truly impressive. I don’t see that it makes much difference here though.
So if this is something that we just cannot accept and move on from, what are our options as to what to do? Can and should we file a formal complaint with the police department?
Hi David,
Things are happening. Timmerman did file a complaint with the Independent Police Review and I’ll be reporting more on that when the time comes. Also, this story has made its way to city councilors and the city administrator’s office. I’m told it will be discussed in a meeting with Police Chief Bob Day. I’m waiting on a few things before writing a follow up. Best thing to do now is to contact the mayor and your city council rep to tell them how you feel about it. Thanks for the comment.